О клинике
Мы работаем с 2017 года и каждый день принимаем более 50 пациентов
Наша клиника обеспечена всем необходимым для качественного и комфортного лечения. Мы используем современного оборудование международного класса.
Вам готовы помочь 16 опытных врачей – профессионалов в своей специальности. Вам подберут именно того специалиста, который точно сможет решить вашу проблему.
Мы способствуем росту наших сотрудников и постоянному обучению их заграницей: в Финляндии, Германии, Швейцарии и странах СНГ.
Посмотрите ролик, чтобы узнать, как мы работаем
Услуги клиники
01
Терапевтическая стоматология
Наши врачи позаботятся о вашем здоровье, удаляя кариес, леча корни зубов, и занимаясь проблемами с деснами. Ключевая цель – сохранить ваши зубы крепкими и здоровыми.
02
Детская стоматология
Мы заботимся о здоровье улыбки вашего малыша. Наши врачи помогут создать комфортное впечатление и положительный опыт у ребенка после посещения детского стоматолога.
03
Хирургическая стоматология
Хирургическая стоматология включает в себя удаление зубов любой сложности, установку имплантов, коррекцию десен, увеличение объема кости, удаление кист и многие другие процедуры.
04
Ортопедическая стоматология
Ортопедия занимается восстановлением работы зубов и челюстей, решает проблемы с жеванием, отсутствующими зубами, и улучшает внешний вид вашей улыбки с помощью протезов или виниров.
05
Ортодонтическая стоматология
Если у вас неправильное расположение зубов, косой прикус или другие проблемы с выравниванием, ортодонтия поможет вам достичь красивой улыбки с помощью брекет-систем и других методов.
06
Рентгенологическая диагностика
Рентгенологическая диагностика в стоматологии – это метод, позволяющий врачам видеть внутренние проблемы зубов и челюстей через рентгеновские снимки.
Врачи-специалисты
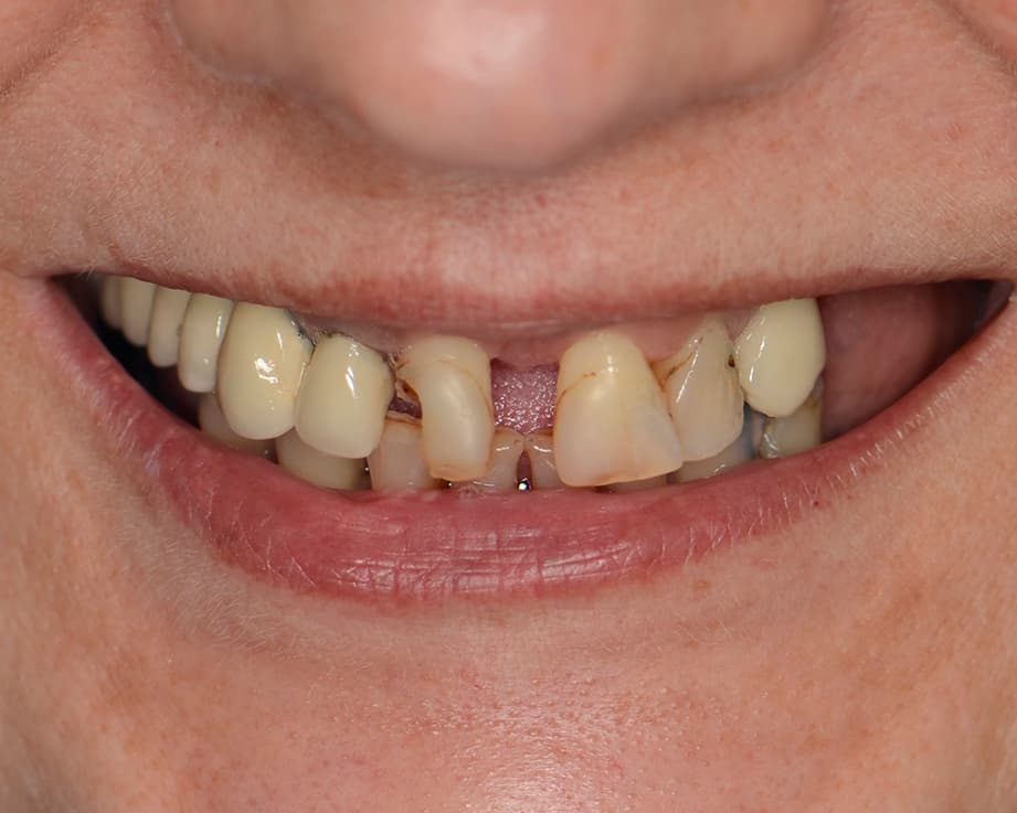
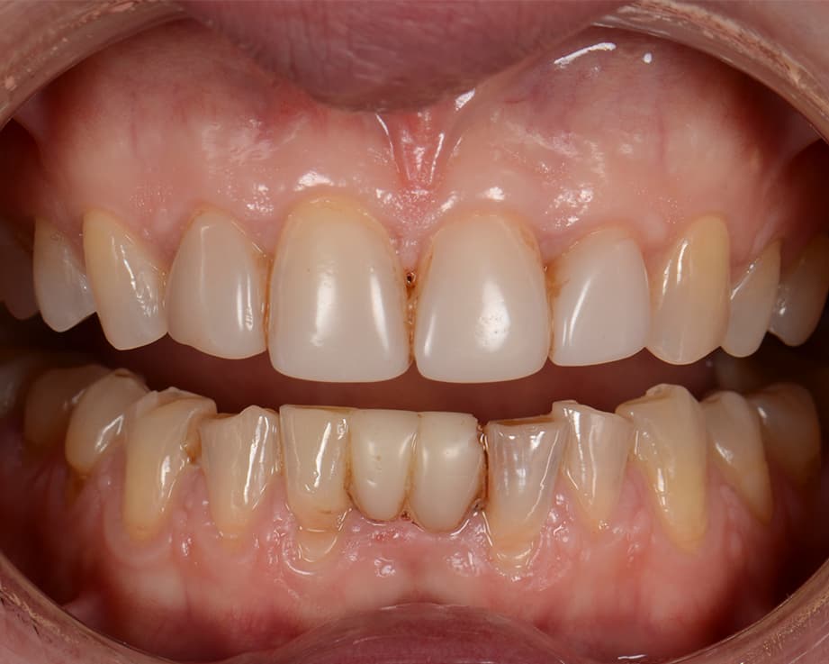
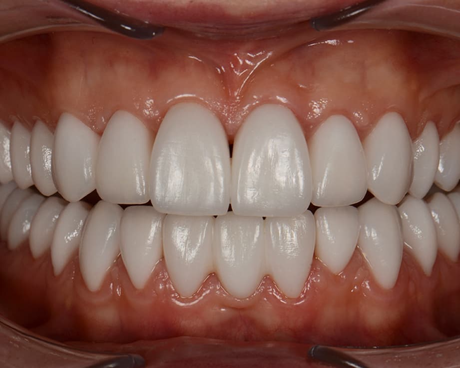
Работы наших врачей
Виниры, коронки
Имплантация, протезирование
Брекеты
Онлайн-консультация
Заполните форму и наш администратор перезвонит вам в ближайшее время











